After a tooth extraction, the healing process is crucial for a smooth recovery. Understanding the stages of healing can help alleviate concerns and ensure that the extraction site heals properly.

The healing stages following a tooth extraction are vital to monitor. Initially, the body starts to heal the socket, and over time, the gum and bone begin to repair themselves. Knowing what to expect during the healing process can make a significant difference in the recovery experience.
Key Takeaways
- Understanding the tooth extraction healing process is essential for a smooth recovery.
- The healing stages involve the initial healing of the socket and subsequent repair of the gum and bone.
- Monitoring the healing process can help identify any potential issues early on.
- Tooth extraction pictures can provide visual guidance on the healing stages.
- A successful recovery depends on proper care and monitoring of the extraction site.
The Tooth Extraction Healing Process: An Overview
The journey to recovery after a tooth extraction begins with understanding the healing process. Healing after tooth extraction is a complex series of events that involve various physiological processes.
Understanding these processes can help patients monitor their recovery and identify any potential issues early on.
Why Understanding the Healing Process Matters
Recognizing the normal healing progression after a tooth extraction is vital for several reasons. It allows patients to differentiate between normal and abnormal healing patterns, reducing anxiety and ensuring timely intervention if complications arise. Moreover, being informed helps patients follow post-extraction care instructions more effectively, promoting a smoother dental extraction recovery.
Simple vs. Surgical Extractions: Different Healing Patterns
The type of extraction performed significantly influences the healing process. Simple extractions, which involve the removal of a tooth that is easily accessible, typically result in faster healing times compared to surgical extractions, which require more complex procedures such as incisions and bone removal. Understanding these differences is crucial for managing expectations regarding tooth extraction healing time.
Factors That Influence Healing Time and Appearance
Several factors can affect the healing time and appearance of the extraction site, including the patient’s overall health, age, and adherence to post-extraction care instructions. A table summarizing these factors is provided below:
| Factor | Influence on Healing |
| Age | Older patients may experience slower healing |
| Overall Health | Presence of systemic diseases can impede healing |
| Post-extraction Care | Proper care can significantly enhance healing |
By understanding these factors and the healing process, patients can better navigate their recovery journey.
Day 1: Immediate Post-Extraction Appearance
Understanding what to expect on the first day after a tooth extraction can significantly reduce anxiety and promote a smoother recovery. The immediate post-extraction period is crucial for setting the stage for the healing process.
Normal Blood Clot Formation: Visual Indicators
A blood clot is a crucial element in the healing process. It forms in the socket where the tooth was extracted and acts as a protective barrier. A healthy blood clot is dark red or maroon in color and has a firm, jelly-like texture. It’s essential not to disturb or dislodge the clot, as it plays a vital role in the initial healing stages.
Expected Swelling and Redness: What’s Normal
Some degree of swelling and redness is normal after a tooth extraction. This is part of the body’s natural response to surgery. The swelling typically peaks within 48-72 hours and then gradually subsides. Redness around the extraction site is also expected and should decrease as healing progresses.
| Symptom | Normal Appearance | When to Be Concerned |
| Swelling | Mild to moderate, peaking at 48-72 hours | Severe, increasing after 3 days |
| Redness | Localized around the extraction site | Spreading or intensifying |
First 24 Hours: Photo Reference Guide
During the first 24 hours, it’s crucial to monitor the extraction site for any signs of complications while also understanding what’s considered normal. Keep an eye on the blood clot’s presence and the overall appearance of the site. Refer to visual guides or photos to better understand the expected appearance during this period.
Days 2-3: Early Healing Stage Visual Guide
The healing journey continues with distinct visual cues emerging between 48 to 72 hours post-extraction. During this period, several changes occur that are crucial for a successful recovery.
Reduction in Bleeding and Clot Stabilization
By days 2-3, the bleeding should have significantly decreased, and the blood clot should be stabilizing. A stable clot is crucial for protecting the socket and facilitating the healing process.
Normal vs. Concerning Appearance at 48-72 Hours
It’s essential to monitor the extraction site for signs of normal healing versus potential complications. Normal appearances include a gradual reduction in swelling and the presence of a stable clot. Conversely, increasing pain, swelling, or signs of infection are concerning and warrant dental consultation.
| Normal Healing Signs | Concerning Signs |
| Reduced swelling | Increasing pain |
| Stable blood clot | Signs of infection (pus, fever) |
| Gradual healing | Excessive bleeding |
Visual Changes to Expect in Surrounding Gum Tissue
The gum tissue around the extraction site may appear slightly swollen or bruised, but this should gradually improve. Monitoring these changes is vital to ensure the healing process is progressing as expected.
By understanding these visual cues, patients can better navigate the early healing stage and identify any potential issues early on.
Days 4-7: First Week Healing Progression
The period between days 4-7 post-extraction is marked by important healing milestones. During this time, the body continues to work on closing the extraction site and initiating the repair process.
White Tissue Formation: What It Looks Like and Why It’s Normal
One of the significant developments during this period is the formation of white tissue in the extraction site. This white tissue, often referred to as fibrin, is a sign of the healing process. It appears as a white or yellowish patch and is completely normal. The presence of this tissue indicates that the body is progressing with the healing as expected.

The white tissue is part of the body’s natural repair mechanism, helping to protect the socket and promote further healing. It’s essential to distinguish this normal healing sign from any potential issues, such as infection. If you’re unsure about the appearance of your extraction site, consulting your dentist is always the best course of action.
Expected Reduction in Swelling and Pain: Visual Timeline
Between days 4-7, patients typically start to notice a reduction in swelling and pain. This improvement is a result of the body’s ongoing healing efforts. The swelling, which was at its peak immediately after the extraction, begins to subside, and the discomfort starts to decrease significantly.
A visual timeline of the expected reduction might look like this:
- Day 4: Noticeable reduction in swelling, pain starts to become more manageable.
- Day 5: Swelling continues to decrease, bruising may start to appear if it hadn’t already.
- Day 6-7: Significant improvement in both swelling and pain, with the extraction site looking more like the surrounding gum tissue.
It’s crucial to remember that everyone’s healing process is slightly different. Factors such as the complexity of the extraction and individual health can influence the rate of healing. If you’re concerned about your progress, it’s always best to consult with your dental care provider.
Week 2: Mid-Healing Stage Visual Indicators
As we enter the second week of healing, several key changes occur in the extraction site. This period is crucial as it signifies the transition from the initial healing phase to a more advanced stage of recovery. The mid-healing stage is characterized by the development of granulation tissue and the beginning signs of socket closure.
Granulation Tissue Development: Color and Texture Changes
During Week 2, the extraction site starts to fill with granulation tissue, a sign of the body’s natural healing process. This tissue is typically red or pink in color and has a granular texture. The presence of granulation tissue indicates that the healing process is progressing as expected.
Socket Closure Beginning Signs: What to Look For
The beginning of socket closure is another significant indicator of the mid-healing stage. As the socket starts to close, you may notice changes in the appearance of the gum tissue surrounding the extraction site. The following table outlines the expected changes:
| Visual Indicator | Description |
| Gum Tissue Color | The gum tissue may appear more pinkish and less red as inflammation reduces. |
| Tissue Texture | The texture of the gum tissue becomes smoother as it covers the socket. |
| Socket Filling | The socket begins to fill with new tissue, reducing its depth. |
These changes are part of the normal healing process. However, it’s essential to monitor the extraction site for any signs of complications and consult your dentist if you have concerns.
Weeks 3-4: Advanced Healing Appearance
During weeks 3-4, patients can expect substantial progress in the healing of their tooth extraction site. This period is characterized by significant advancements in gum tissue regeneration and socket filling. The visual appearance of the extraction site continues to improve, with notable changes that indicate healthy healing.

Gum Tissue Regeneration Visual Cues
Gum tissue regeneration is a critical aspect of the healing process. During weeks 3-4, the gum tissue begins to cover the extraction site more thoroughly, reducing the visibility of the socket. Key visual cues of this process include:
- The gum tissue becomes more firm and less sensitive.
- The color of the gum tissue transitions from red to a more natural pink hue.
- The socket begins to be covered by new gum tissue, reducing its visibility.
Socket Filling Progress: Before and After Comparisons
Socket filling is another crucial aspect of the healing process during weeks 3-4. The socket begins to fill with new bone and tissue, gradually reducing its depth. Before and after comparisons can illustrate the significant progress made during this period:
- Initially, the socket may appear deep and empty.
- By week 3-4, the socket starts to fill, becoming less noticeable.
- The filling of the socket is accompanied by the regeneration of gum tissue over the site.
These visual changes are indicative of the body’s natural healing process. Patients should continue to follow their dentist’s advice on post-extraction care to ensure optimal healing.
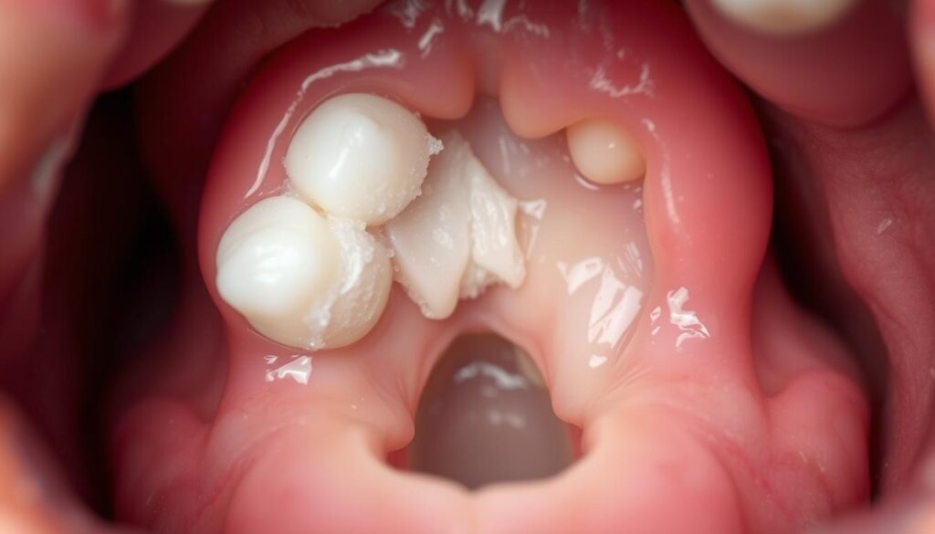
What Should A Tooth Extraction Look like when Healing Pictures: A Complete Timeline
Understanding the healing process after a tooth extraction is crucial for a smooth recovery. The healing timeline can vary depending on whether you’ve had a simple or surgical extraction. Having a visual guide can help you understand what to expect during your recovery.
Simple Extraction Healing Gallery: Day-by-Day Visual Guide
For simple extractions, the healing process typically progresses rapidly. Day 1-2: You may experience bleeding and swelling, with a blood clot forming in the socket. This clot is crucial for protecting the bone and nerve endings. By Day 3-4, the bleeding should have stopped, and the clot starts to dissolve. The gum tissue begins to close over the socket.
As you progress through the first week, you can expect the swelling to reduce significantly, and the gum tissue to start regenerating. By the end of the first week, the socket will be largely closed, and you should be able to resume normal oral hygiene practices.
Surgical Extraction Healing Gallery: Week-by-Week Progression
Surgical extractions, on the other hand, involve more complex procedures and therefore have a longer healing timeline. Week 1: The initial healing process is similar to simple extractions, with bleeding, swelling, and clot formation. However, the swelling may be more pronounced, and you may experience more discomfort.
By Week 2-3, the gum tissue starts to regenerate more noticeably, and the socket begins to fill with new tissue. It’s essential to follow your dentist’s instructions for post-operative care to ensure proper healing. By the end of Week 4, the socket should be significantly filled, and the gum tissue should be nearly fully regenerated.
Monitoring your healing progress through visual guides can provide reassurance and help you identify any potential issues early on. Always consult your dentist if you have concerns about your recovery.
Red Flags: Abnormal Healing Appearances
After a tooth extraction, it’s crucial to monitor the healing process for any abnormal signs that may indicate complications. While the healing process is generally straightforward, being aware of potential issues can help ensure a smooth recovery.
Signs of Dry Socket with Visual References
Dry socket, or alveolar osteitis, occurs when the blood clot that forms over the socket is dislodged or dissolves too early. Visual indicators include exposed bone, a dry appearance of the socket, and intense pain that may radiate to the ear or eye.
It’s essential to recognize these signs early to seek timely dental care.
Infection Indicators: Recognizing Problematic Symptoms
Infection after a tooth extraction can manifest through various symptoms. These include increasing pain, swelling that worsens over time, redness, and pus around the extraction site. Fever and a bad taste in the mouth are also indicators of infection.
| Symptom | Description |
| Increasing Pain | Pain that worsens over time, not relieved by prescribed pain medication |
| Swelling and Redness | Swelling or redness that increases after the initial few days |
| Pus and Fever | Presence of pus around the extraction site and elevated body temperature |
When to Contact Your Dentist Immediately: Visual Warning Signs
If you notice any of the following, contact your dentist immediately: severe pain not controlled with medication, heavy bleeding, or signs of infection as described above. Visual warning signs also include a white or yellowish coating on the tongue or inside of the mouth, indicating a possible fungal infection.
Prompt action can prevent minor issues from becoming major complications.
Healing Differences by Tooth Type and Location
Understanding that the healing process varies with the type and location of the extracted tooth is essential for proper post-extraction care. The differences in healing are influenced by factors such as the tooth’s position, its complexity, and the surrounding bone and gum tissue.
Molar Extraction Healing vs. Front Teeth
The healing process differs significantly between molars and front teeth due to their distinct anatomical locations and functions. Molar extractions, being in the back of the mouth, often involve more complex bone structure and potentially more trauma to the surrounding tissue, which can affect healing time. Front teeth extractions, on the other hand, typically involve less complex procedures and may heal more straightforwardly.
| Tooth Type | Healing Time | Complexity |
| Molars | Longer | Higher |
| Front Teeth | Shorter | Lower |
Wisdom Teeth Extraction: Unique Healing Characteristics
Wisdom teeth extractions have unique healing characteristics due to their location at the back of the mouth and the often limited access, which can complicate the extraction process. The healing of wisdom teeth sockets can be slower and may require more careful post-operative care to prevent complications.
“The removal of wisdom teeth is a common procedure, but it requires careful consideration of the healing process to ensure optimal recovery.”
Dental Professional
Upper vs. Lower Teeth: Why They Heal Differently
The healing process can also differ between upper and lower teeth due to variations in bone density and the presence of sinus cavities in the upper jaw. Upper teeth extractions may have different healing patterns compared to lower teeth, particularly in terms of bone regeneration and the risk of complications.
By understanding these differences, patients can better prepare for their recovery and dental professionals can provide more tailored care instructions.
Care Practices That Promote Healthy Healing Appearance
Proper care after a tooth extraction is crucial for promoting a healthy healing appearance. The way you care for the extraction site can significantly impact the healing process, reducing the risk of complications and ensuring the best possible outcome.
Proper Cleaning Techniques During Each Healing Phase
Cleaning the extraction site properly is vital during the healing process. Gentle rinsing with warm salt water is recommended to keep the area clean without dislodging the blood clot. During the first 24 hours, it’s advisable to avoid brushing the extraction site directly, instead gently brushing the surrounding teeth and gums.
After the initial 24 hours, you can start gently brushing the extraction site with a soft-bristled toothbrush. Continue to rinse with salt water several times a day, especially after meals, to keep the area free of debris.
| Healing Phase | Cleaning Technique |
| First 24 hours | Gentle rinsing with salt water, avoid brushing the extraction site |
| After 24 hours | Gentle brushing with a soft-bristled toothbrush, continue rinsing with salt water |
Diet Recommendations for Optimal Healing Results
A nutritious diet plays a significant role in the healing process. Consuming soft, nutrient-rich foods such as yogurt, scrambled eggs, and mashed potatoes can support healing. It’s also important to stay hydrated by drinking plenty of water.
Avoid consuming hard, crunchy, or spicy foods that can irritate the extraction site or dislodge the blood clot. Opting for a balanced diet that includes vitamins and minerals, especially vitamin C and zinc, can enhance the healing process.
Activities to Avoid for Better Visual Healing Outcomes
Certain activities can negatively impact the healing process. Avoid smoking and using straws, as these can dislodge the blood clot and lead to dry socket. Additionally, strenuous activities and heavy lifting should be avoided in the first few days after extraction to prevent bleeding and promote clot stability.
Conclusion: Monitoring Your Extraction Site for Successful Healing
As you’ve learned throughout this guide, the tooth extraction healing process involves several stages, each with distinct visual indicators. To ensure successful healing, it’s crucial to monitor your extraction site closely.
By understanding what to expect during each stage, from the initial blood clot formation to the eventual socket closure, you can identify any potential issues early on. Regular extraction site monitoring allows you to catch complications such as dry socket or infection, enabling you to seek timely dental care.
Maintaining good oral hygiene, following a balanced diet, and avoiding certain activities as advised by your dentist will also contribute to a smooth recovery. By being vigilant and proactive, you can promote optimal healing and minimize the risk of complications.
Remember, every individual’s healing process is unique, and factors such as the complexity of the extraction and overall health can influence the recovery timeline. If you have concerns about your extraction site’s appearance or healing progress, don’t hesitate to consult your dentist for personalized guidance.
FAQ
What does a normal tooth extraction site look like during the healing process?
A normal tooth extraction site will typically have a blood clot forming over the socket, which may appear red or purple. As it heals, the clot will be replaced by granulation tissue, which is usually white or yellowish in color.
How long does it take for a tooth extraction site to heal?
The healing time for a tooth extraction site can vary depending on the complexity of the extraction and individual factors, but generally, it takes around 7-10 days for the initial healing process.
What are the signs of dry socket, and how can I identify it?
Dry socket is characterized by severe pain, typically starting a few days after the extraction, and may be accompanied by an empty or dry socket, visible bone, or a bad taste. If you experience these symptoms, contact your dentist immediately.
Can I see pictures of tooth extraction healing progress?
Yes, many dental websites and resources provide pictures and visual guides to help illustrate the healing process, including the different stages and what to expect.
How do I care for my tooth extraction site to promote healthy healing?
To promote healthy healing, follow your dentist’s instructions for post-extraction care, including gentle rinsing with salt water, avoiding strenuous activities, and eating soft foods.
What are the differences in healing between simple and surgical extractions?
Simple extractions tend to heal faster and with less complexity compared to surgical extractions, which may involve more tissue trauma and a longer healing time.
Are there any specific dietary recommendations to aid in the healing process?
Yes, a soft-food diet is recommended during the initial healing phase, avoiding hot, spicy, or sharp foods that could irritate the extraction site or dislodge the blood clot.
How can I manage swelling and pain after a tooth extraction?
Swelling and pain can be managed with ice packs, over-the-counter pain medication as directed, and elevating your head while resting.
When should I contact my dentist about concerns with my tooth extraction healing?
If you experience severe pain, increasing swelling, signs of infection, or other concerning symptoms, contact your dentist promptly for guidance and care.
Can the location of the extracted tooth affect the healing process?
Yes, the location and type of tooth extracted can influence the healing process, with molars and wisdom teeth sometimes having different healing characteristics compared to front teeth.
Pingback: Can Tooth Decay Be Reversed